原理先容:3D-TOF-MRA是一种无创性的血管检查手艺,使用 MRI 成像手艺来描绘剖解组织中血管路径并三维展示出来的要领,对动脉特殊敏感,无需注入比照剂, 可使血管显影
临床用途:MRA能直接显示动脉瘤巨细、部位、形状,能多方位多角度视察瘤体整体情形,3D-TOF-MRA靶血管重组的要领针对重点部位举行剖析,提高动脉瘤&小动脉瘤诊断的准确性
原理先容:高区分脑血管壁MRI直接视察颅内血管壁结构的细腻改变,对脑血管病的爆发气制、病理改变、判别诊断、预后转归判断带来革命性希望
临床用途:1.颅内动脉闭塞性疾病的判别诊断,在判别诊断动脉粥样硬化;2.动脉夹层、烟雾病、血管炎施展主要临床作用;3.颅内动脉粥样硬化狭窄的治疗提供更多信息
原理先容:心脏冠脉CTA对心脏和大血管剖解结构的显示优良,可对冠脉举行恣意角度视察,更好简直定冠脉斑块的性子。与古板冠脉造影DSA相比,冠脉CTA能很好的显示血管的启齿情形
临床用途:冠心病高危人群的筛选,冠脉狭窄水平的判断、冠脉钙化、心肌桥、冠脉畸形的诊断
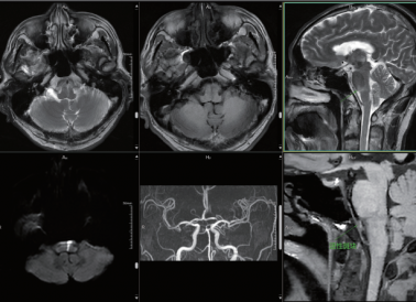
原理先容:头颈部CTA具有很强的时间和空间的区分率,可对血管的完整形态及病变情形等予以三维重修,能全方位地对颅内血管举行有用的视察,清晰地显示颈总动脉、颈内外动脉、椎动脉、基底动脉及颅底Wills环的血管图像
临床用途:颅内动脉瘤、 动脉粥样硬化、 血管畸形、 动脉血管狭窄闭塞、 颅内肿瘤
原理先容:垂MRI可以判断垂体的巨细,是否有异常信号的改变,垂体的边沿是否正常
临床用途:垂体腺瘤、泌乳素瘤、Rathke’s 囊肿、垂体柄病变、垂体出血卒中、空蝶鞍综合征
原理先容:通过uCS压缩感知手艺对乳腺实现多期相快速扫描,以血流动力学为基础,将MR成像中T1信号强度与造影剂浓度相联系,通过定量剖析,评估局部血管通透性的改变及相关心理学信息
临床用途:1.乳腺良恶性病变判别诊断;2.乳腺癌的分级;3. 乳腺癌辅助化疗早期疗效评估;靶向药物疗效追踪
原理先容:口腔颌面部、喉部主要由肌肉、脂肪、血管、淋巴组织、腺体、骨组织及神经组成。 MRI 具有很是高的软组织比照度,可显示特征性信号强度,故MRI比螺旋 CT能提供更多的诊断信息
临床用途:腮腺区肿瘤、舌和口底区肿瘤、颌面深部间隙区恶性肿瘤、颞下颌枢纽杂乱综合征、鼻咽癌
原理先容:肋软骨由于其因素在x线平片及通例CT上难以显示。多层螺旋CT有着众多优点,如笼罩规模大、可提供多层扫描数据的信息、密度区分率高、图像后处置惩罚功效强盛
临床用途:整形外科医生使用肋软骨作为支架重塑鼻已成为普遍需求,而在取肋软骨之前,要先确定肋软骨是否钙化。CT“肋软骨三维重修”可确定软骨是否钙化,并选择理想的肋软骨
原理先容:PET/CT可实现PET图像和CT图像的同机融合,同时反应病灶的病理心理转变及形态结构,爆发了1+1>2的效果,显著提高了诊断的准确性
临床用途:PET/CT检查已得光临床医师的高度评价,特殊是在肿瘤方面,而在非肿瘤方面,如神经系统、心血管系统等方面, PET/CT也均有普遍的应用
原理先容:PET显像关于恶性淋巴瘤的诊断迅速度较高,已建议作为恶性淋巴瘤的初始分期、再分期及疗效随访的标准影像手艺
临床用途:PET/CT可以通过「一站式」显像发明全身险些所有被侵占的淋投合和结外器官,临床资料显示,PET/CT对恶性淋巴瘤分期的准确性较高
原理先容:30cm超大轴向视野:乳腺癌,单床位笼罩腋窝至乳腺规模,腋窝转移灶显示清晰,辅助临床精准诊断乳腺癌腋窝转移
临床用途:PET/CT在乳腺癌中的顺应症:临床局部晚期、分子分型预后差,或有症状可以保存远处转移的患者疗前分期;术后患者随访中可疑泛起局部复发或转移,包括查体或通例影像检查泛起异常,关于判别复发和放射性纤维化,PET/CT较其他通例影像检查具有优势
原理先容:结直肠癌是常见的消化道恶性肿瘤,通常起源于结肠或直肠上皮的非癌性新生物“息肉”
临床用途:2020 CSCO 结直肠癌诊疗指南[7] 重大决议或形态学未发明但临床证据高度嫌疑转移瘤时使用PET/CT 18F-FDG PET/CT检测结直肠癌治疗后复发和转移的汇总迅速度为91%,特异性为83%,显著高于CT和MRI
原理先容:MRI检查因奇异的软组织成像与区分功效,可为临床检查有用提供冠状面、横断面和矢状面等差别平面的图像,能高敏感性地区分出软骨、骨、枢纽囊及肌肉等组织。髋枢纽MRI可详细形貌髋白周围软骨、骼腰肌、髋枢纽Y型软骨、髋臼内圆韧带和枢纽囊等周围软组织形态
临床用途:1. 股骨头缺血坏死、骨坏死、髋臼盂唇损伤; 2. 可清晰显示枢纽积液、髋白内脂肪增生等征象是否保存; 3. 小儿化脓性髋枢纽炎的股骨头受累情形小儿髋枢纽发育不良
全线高端医学影像诊断装备 60多款智能高级应用 为客户提供精准高效的医疗康健诊断效劳
智能诊断系统,智能辅助医生阅片 缉查病灶,做到量化评估 大幅降低漏诊及误诊率
搭载联影智慧医疗云平台 客户可即时在线审查云胶片及图文报告 随时随地线上预约,线上预问诊






