ÓÉÉϺ£ÁªÓ°ÖÇ»ÛÒ½ÁÆÍ¶×ʽ¨É裬Êǹú¼Ò¿Æ¼¼²¿ÖصãÏîÄ¿Ê÷Ä£»ùµØ¡£ÖÐÐÄÅ䱸Êý×ֹ⵼PET/CT¡¢¹âËó3.0T´Å¹²Õñ¡¢ÐÄʱ¿Õ128²ãCTµÈ¸ß¶ËҽѧӰÏñ×°±¸£¬ÎªÁÙ´²ÌṩҽѧӰÏñ¼ì²é¡¢Ó°ÏñÕï¶Ï£¬Îª»¼ÕßÌṩ¸ßЧ¡¢¸ßÖÊÁ¿¡¢¶¨ÖÆ»¯µÄҽѧӰÏñ¾«×¼Õï¶ÏºÍ¿µ½¡ÖÎÀíЧÀÍ¡£
µØµã£º¼ªÁÖÊ¡³¤´ºÊÐÏòÑôÇø¶«ÃñÖ÷´ó½Ö482ºÅ
ÁªÏµµç»°£º0431-81855511£¬0431-81813311

³¤´ºÖÐÒ½Ò©´óѧµÚÈýÁ¥ÊôÒ½ÔºÖ÷ÈÎҽʦ
ÔÚÐÄÔà´óѪ¹ÜÓëÐØ²¿Ó°ÏñÕï¶Ï·½ÃæÓнÏÉîÔìÒ裬ʹÓÃMRI¼°MSCTÊÖÒÕÔÚÐÄѪ¹Ü¼²²¡µÄÕï¶Ï¾ÙÐÐÁËϵͳÑо¿£»´ÓÊÂÓ°ÏñÕï¶ÏÊÂÇé30ÓàÄ꣬¹²½ÒÏþÂÛÎÄ70ƪ£¬¼ÓÈë±àÐ´×¨Öø2²¿£¬³Ðµ£¿ÆÑÐÏîÄ¿7Ïî
ÉÆÓÚºôÎüϵͳСÊàŦÆÊÎö£¬¸Î°©ÔçÆðÕï¶Ï£¬Ô¤ºóÆÀ¹ÀµÈ
´Å¹²Õñ¼¹ÖùË®³ÉÏñ¡¢Ñª¹Ü³ÉÏñ¡¢µ¨µÀ¼°ÃÚÄòϵˮ³ÉÏñ£»ÈéÏÙ¶¯Ì¬ÔöÇ¿£»ÃÖÉ¢¼ÓȨ³ÉÏñ£»´ÅÃô¸Ð¼ÓȨ³ÉÏñ£»´Å¹²ÕñHÖÊ×ÓÆµÆ×ÆÊÎö£»ÄÔ¶¯Ì¬ÔöÇ¿
ÉÆÓÚ¹Ç÷ÀϵͳÕï¶Ï
ÖÐÊàÉñ¾¹Ç÷ÀµÄMRIºÍCTµÄÓ°ÏñÕï¶Ï£¬ÒÔ¼°PET/CTÆÀ¼ÛÖ×ÁöÁÆÐ§£¬ÕÒÔ·¢ÐÔÖ×ÁöµÈ
ÔÀíÏÈÈÝ:PET/CT¿ÉʵÏÖPETͼÏñºÍCTͼÏñµÄͬ»úÈںϣ¬Í¬Ê±·´Ó¦²¡ÔîµÄ²¡ÀíÐÄÀíת±ä¼°ÐÎ̬½á¹¹£¬±¬·¢ÁË1+1>2µÄЧ¹û£¬ÏÔÖøÌá¸ßÁËÕï¶ÏµÄ׼ȷÐÔ
ÁÙ´²ÓÃ;:PET/CT¼ì²éÒѵùâÁÙ´²Ò½Ê¦µÄ¸ß¶ÈÆÀ¼Û,ÌØÊâÊÇÔÚÖ×Áö·½Ã棬¶øÔÚ·ÇÖ×Áö·½Ãæ,ÈçÉñ¾ÏµÍ³¡¢ÐÄѪ¹ÜϵͳµÈ·½Ãæ, PET/CTÒ²¾ùÓÐÆÕ±éµÄÓ¦ÓÃ
ÔÀíÏÈÈÝ:PETÏÔÏñ¹ØÓÚ¶ñÐÔÁܰÍÁöµÄÕï¶ÏѸËٶȽϸߣ¬Òѽ¨Òé×÷Ϊ¶ñÐÔÁܰÍÁöµÄ³õʼ·ÖÆÚ¡¢ÔÙ·ÖÆÚ¼°ÁÆÐ§Ëæ·ÃµÄ±ê×¼Ó°ÏñÊÖÒÕ
ÁÙ´²ÓÃ;:PET/CT¿ÉÒÔͨ¹ý¡¸Ò»Õ¾Ê½¡¹ÏÔÏñ·¢Ã÷È«ÉíÏÕЩËùÓб»ÇÖÕ¼µÄÁÜͶºÏºÍ½áÍâÆ÷¹Ù£¬ÁÙ´²×ÊÁÏÏÔʾ£¬PET/CT¶Ô¶ñÐÔÁܰÍÁö·ÖÆÚµÄ׼ȷÐԽϸß
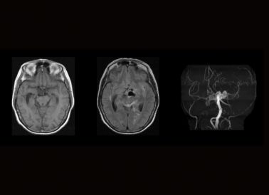
ÔÀíÏÈÈÝ:3D-TOF-MRAÊÇÒ»ÖÖÎÞ´´ÐÔµÄѪ¹Ü¼ì²éÊÖÒÕ£¬Ê¹Óà MRI ³ÉÏñÊÖÒÕÀ´Ãè»æÆÊ½â×éÖ¯ÖÐѪ¹Ü·¾¶²¢Èýάչʾ³öÀ´µÄÒªÁ죬¶Ô¶¯ÂöÌØÊâÃô¸Ð£¬ÎÞÐè×¢Èë±ÈÕÕ¼Á£¬ ¿ÉʹѪ¹ÜÏÔÓ°
ÁÙ´²ÓÃ;:MRAÄÜÖ±½ÓÏÔʾ¶¯ÂöÁö¾Þϸ¡¢²¿Î»¡¢ÐÎ×´£¬Äܶ෽λ¶à½Ç¶ÈÊÓ²ìÁöÌåÕûÌåÇéÐΣ¬3D-TOF-MRA°ÐѪ¹ÜÖØ×éµÄÒªÁìÕë¶ÔÖØµã²¿Î»¾ÙÐÐÆÊÎö£¬Ìá¸ß¶¯ÂöÁö&С¶¯ÂöÁöÕï¶ÏµÄ׼ȷÐÔ
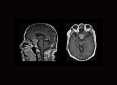
ÔÀíÏÈÈÝ:´¹MRI¿ÉÒÔÅжϴ¹ÌåµÄ¾Þϸ£¬ÊÇ·ñÓÐÒì³£Ðźŵĸı䣬´¹ÌåµÄ±ßÑØÊÇ·ñÕý³£
ÁÙ´²ÓÃ;:´¹ÌåÏÙÁö¡¢ÃÚÈéËØÁö¡¢Rathke¡¯s ÄÒÖס¢´¹Ìå±ú²¡±ä¡¢´¹Ìå³öѪ×äÖС¢¿Õµû°°×ÛºÏÕ÷
ÔÀíÏÈÈÝ:ÐÄÔà¹ÚÂöCTA¶ÔÐÄÔàºÍ´óѪ¹ÜÆÊ½â½á¹¹µÄÏÔʾÓÅÁ¼£¬¿É¶Ô¹ÚÂö¾ÙÐÐí§Òâ½Ç¶ÈÊӲ죬¸üºÃ¼òÖ±¶¨¹ÚÂö°ß¿éµÄÐÔ×Ó¡£Óë¹Å°å¹ÚÂöÔìÓ°DSAÏà±È£¬¹ÚÂöCTAÄܺܺõÄÏÔʾѪ¹ÜµÄÆô³ÝÇéÐÎ
ÁÙ´²ÓÃ;:¹ÚÐIJ¡¸ßΣÈËȺµÄɸѡ£¬¹ÚÂöÏÁÕˮƽµÄÅжϡ¢¹ÚÂö¸Æ»¯¡¢Ðļ¡ÇÅ¡¢¹ÚÂö»ûÐεÄÕï¶Ï
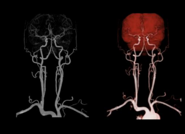
ÔÀíÏÈÈÝ:Í·¾±²¿CTA¾ßÓкÜÇ¿µÄʱ¼äºÍ¿Õ¼äµÄÇø·ÖÂÊ£¬¿É¶ÔѪ¹ÜµÄÍêÕûÐÎ̬¼°²¡±äÇéÐεÈÓèÒÔÈýÎ¬ÖØÐÞ£¬ÄÜÈ«·½Î»µØ¶ÔÂÄÚѪ¹Ü¾ÙÐÐÓÐÓõÄÊӲ죬ÇåÎúµØÏÔʾ¾±×ܶ¯Âö¡¢¾±ÄÚÍ⶯Âö¡¢×µ¶¯Âö¡¢»ùµ×¶¯Âö¼°Âµ×Wills»·µÄѪ¹ÜͼÏñ
ÁÙ´²ÓÃ;:ÂÄÚ¶¯ÂöÁö¡¢ ¶¯ÂöÖàÑùÓ²»¯¡¢ Ѫ¹Ü»ûÐΡ¢ ¶¯ÂöѪ¹ÜÏÁÕ±ÕÈû¡¢ ÂÄÚÖ×Áö